大脚骨,医学上称为拇外翻,是一种常见的足部畸形问题。它不仅影响脚部的美观,还给患者的日常生活带来诸多不便。对于许多患有大脚骨的人来说,走路时的疼痛是更直接的困扰。
随着病情的发展,大脚骨部位会逐渐出现红肿、疼痛加剧的情况,重的时甚至会影响到正常的行走姿势,导致身体其他部位如膝关节、腰椎等出现额外的压力,引发连锁反应的健康问题。

在外观方面,大脚骨使得脚趾形态变得怪异,这让很多患者在选择鞋子时受到极大限制。
漂亮的高跟鞋、时尚的凉鞋往往因为大脚骨的存在而无法穿着,只能选择宽松、款式单一的鞋子来缓解脚部的不适。
这种外观上的缺陷也给患者带来了一定的心理压力,尤其是对于爱美的女性来说,夏天不能穿凉鞋展示美足,自信心会受到一定程度的打击。
苏敬达医生大脚骨手术的价格优势
苏敬达医生针对大脚骨手术制定了合理的价格体系,其中轻度大脚骨手术价格12800元起。
这一价格对于众多大脚骨患者来说具有特别大的吸引力。
在医疗市场中,不同的大脚骨手术价格差异较大。
一些传统的手术方式可能因为使用了较多的耗材、复杂的操作流程等原因,价格相对较高。
而苏敬达医生的手术价格相对透明、合理,能够让更多的患者有机会接受有效的治疗。
对于轻度大脚骨患者来说,12800元起的价格既能够解决他们脚部的畸形问题,又不会给他们带来过重的经济负担。
这使得更多经济条件一般的患者也能够勇敢地迈出治疗的头一步,摆脱大脚骨带来的困扰。
而且,这样的价格体系也体现了苏敬达医生对患者的关怀,致力于让更多人受益于特色的大脚骨治疗。

不打钢钉的手术特色
苏敬达医生的大脚骨手术一大特色就是不打钢钉。
传统的大脚骨手术往往需要使用钢钉来固定骨骼,以促进骨骼的愈合和矫正。
然而,打钢钉存在一些弊端。
首先,钢钉作为一种异物留在体内,可能会引起身体的排异反应,导致局部疼痛、肿胀等不适症状。
其次,在骨骼愈合后,还需要进行二次手术将钢钉取出,这无疑增加了患者的痛苦和手术风险。
苏敬达医生采用的不打钢钉的手术方法,避免了这些问题的出现。
通过独特的手术技巧和矫正方式,能够在不使用钢钉的情况下达到良好的矫正结果。
这种方法减少了手术的复杂性和患者的痛苦,同时也降低了手术的成本。
患者在术后无需担心钢钉带来的潜在风险,修复过程更加顺利。

术后可走路的优势
术后可走路是苏敬达医生大脚骨手术的另一大亮点。
传统的大脚骨手术术后往往需要长时间的卧床休息,患者需要依靠拐杖等辅助工具才能移动,这给患者的生活带来了极大的不便。
而且长时间的卧床休息还可能导致肌肉萎缩、血循环不畅等问题,影响身体的整体修复。
而苏敬达医生的手术在术后患者即可走路。
这是因为手术对脚部的损伤较小,通过精密的操作和合理的术后护理,患者的脚部能够较快地修复一定的功能。
术后可走路不仅方便了患者的日常生活,减少了对他人的依赖,还能够促进脚部的血循环,有利于伤口的愈合和身体的修复。
患者可以在术后尽快回归正常的生活和工作,减少了因手术而耽误的时间。

手术的适应人群
苏敬达医生的大脚骨手术适用于不同程度的大脚骨患者。
对于轻度大脚骨患者来说,手术可以及时矫正畸形,防止病情进一步发展。
轻度大脚骨患者通常表现为拇趾轻度外翻,疼痛症状相对较轻,但已经开始影响到鞋子的选择和日常生活的舒适度。
通过手术治疗,能够修复脚部的正常形态和功能,提高生活质量。
中度大脚骨患者也可以从苏敬达医生的手术中受益。
中度大脚骨患者的拇趾外翻程度加重,疼痛症状更加明显,可能已经出现了局部的红肿、鸡眼等问题。
手术可以有效地矫正畸形,缓和疼感,改善脚部的功能。
对于重度大脚骨患者,虽然病情较为重的,但苏敬达医生凭借其丰富的经验和优质的技术,也能够制定出个性化的手术方案。
重度大脚骨患者的拇趾外翻角度较大,可能已经影响到了其他脚趾的正常排列,导致脚部功能重的受损。
手术可以尽可能地修复脚部的正常结构和功能,减轻患者的痛苦。

手术的流程
苏敬达医生的大脚骨手术有着严谨的流程。
首先是术前的详细检查和评估。
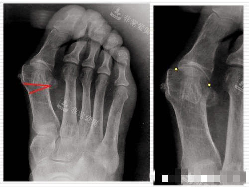
医生会对患者的脚部进行多方面的检查,包括X光片、CT等影像学检查,以较准了解大脚骨的程度、骨骼的结构和关节的情况。
同时,医生还会询问患者的病史、症状等信息,综合评估患者的身体状况和手术耐受性。
在确定手术方案后,会进行术前的准备工作。
患者需要遵循医生的建议,做好个人卫生,调整身体状态,避免在手术前出现感冒、感染等情况。
手术过程中,医生会在局部麻醉下进行操作,尽可能减少患者的痛苦。
手术会根据患者的具体情况进行精细的矫正,确保达到理想的治疗结果。
术后,医生会为患者提供详细的护理指导。
包括如何正确地进行伤口护理,避免感染;如何进行适当的改善锻炼,促进脚部功能的修复;以及饮食方面的注意事项等。
患者需要严格按照医生的要求进行护理和改善,以确保手术的结果和身体的顺利修复。

患者的反馈和实例
许多接受过苏敬达医生大脚骨手术的患者都给出了积极的反馈。
一位轻度大脚骨患者表示,手术前她因为大脚骨问题不敢穿漂亮的鞋子,夏天只能穿运动鞋,心理压力特别大。
接受手术治疗后,她不仅摆脱了大脚骨带来的疼痛,还能够自信地穿上凉鞋出门了。
她对手术的结果非常满意,称赞苏敬达医生的技术和服务。
还有一位中度大脚骨患者,之前因为疼痛已经影响到了正常的工作和生活。
在接受苏敬达医生的手术后,他惊讶地发现术后可以立即走路,而且疼痛明显减轻。
经过一段时间的修复,他的脚部功能完全修复正常,又能够像以前一样正常工作和运动了。
这些真实的实例和患者的反馈充分证明了苏敬达医生大脚骨手术的有效性和优势。
越来越多的大脚骨患者通过苏敬达医生的手术重新获得了健康和自信,摆脱了大脚骨带来的困扰。

总结
苏敬达医生的大脚骨手术以其合理的价格、不打钢钉、术后可走路等优势,为众多大脚骨患者带来了福音。
无论是轻度、中度还是重度大脚骨患者,都能够在苏敬达医生的特色治疗下得到有效的矫正和治疗。
手术的特色和优势不仅减少了患者的痛苦和经济负担,还让患者能够更快地修复正常的生活和工作。
相信随着更多患者的了解和选择,苏敬达医生的大脚骨手术将会帮助更多的人解决大脚骨问题,重拾健康和自信。
如果你也被大脚骨问题所困扰,不妨考虑苏敬达医生的手术,给自己一个摆脱困扰的机会。
评价(已有{{comments_num}}人点评)