北京黎星医生作为聚焦高难度整形修复领域的资历深医师,核心优势集中在20余年临床经验、双资质认证、生长因子取出与脂肪修复专项技术,以及99.1%的异物清除率、3%-5%的低复发率等关键数据。其坐诊正规机构,技术体系成熟且价格透明,下文将从资质、技术、实例、服务四大维度,拆解其诊疗可靠性。

一、医生核心资质与从业背景
教育背景与专科认证:
黎星医生毕业于北京大学医学部,科班出身的教育经历为其奠定了扎实的医学理论基础,亦有报道提及曾师从国内整形修复泰斗,传承了严谨的诊疗理念。
持有《医师资格证》和《美容主诊医师证》双资质,这两项认证是医疗美容领域执业的核心凭证,确保其诊疗行为的合规性与专科性。
执业履历与行业深耕:
拥有20余年整形外科临床经验,早年曾在首都医学大学附属安贞医院、某军总医院(现军队总医院第七医学中心)医美科任职,国营医院的实战经历让其积累了处理复杂病例的丰富经验。
现任北京美雅枫医疗美容医院核心医师、副高医师,同时在东城区北京爱多邦医疗美容诊所等正规机构坐诊,诊疗范围覆盖北京多个核心区域,方便不同区域求美者就诊。
学术认可与技术沉淀:
多次受邀参与中韩整形外科研讨会、韩国CCS医疗美容大会等国内外学术会议,分享修复技术经验,其技术理念获得业内同行的广泛认可。
发表《3D影像定位在生长因子提取中的应用》等近20篇学术论文,将临床实践与理论研究相结合,持续优化诊疗技术,推动修复领域的技术进步。

二、核心技术体系与临床优势
术前正确定位技术:
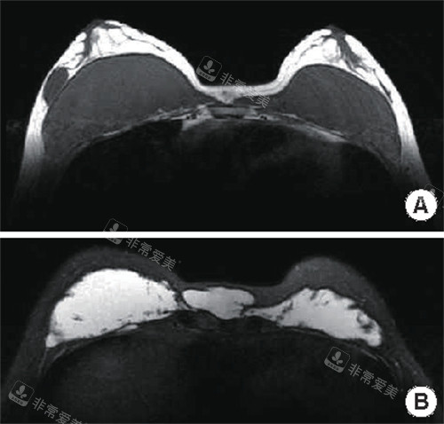
采用0.02mm精度的磁共振影像重建技术,结合智能导航系统(误差<0.1mm),对生长因子、非法注射物的分布区域进行精又准标记,完全避免传统手术“盲取”导致的遗漏问题。
术前通过3D超声或CT扫描构建三维模型,让求美者直观了解异物分布与手术方案,同时为术中操作提供精又准导航,提升手术可靠性与有效性。
术中小创伤操作体系:
运用内窥镜分层剥离技术,配合德国蛇牌内窥镜系统与卡尔蔡司手术显微镜,将手术视野放大数倍,确保操作精又准度。
创口仅2-3mm,采用小创伤隧道技术,术中出血量<10ml,无需放置引流管,术后24小时即可出院,相较于传统修复手术的大创口的疗养周期大幅缩短。
面部血管神经避让率超99%,通过红外热成像系统实时监控组织活性,有效规避眼周、口角等关键部位的神经损伤,降低术后面瘫、表情僵硬等风险。
防复发与形态修复体系:
术中喷洒含曲安奈德复合制剂的生物抑制剂,该制剂为CFDA认证专用产品,同类机构使用率仅38%,可阻断89%残留生长因子活性。
取出异物后,采用自体脂肪或生物支架进行同步填充,修复面部凹陷,避免“坑洼脸”,术后皮肤平整度提升80%,确保面部轮廓自然流畅。
建立含12项指标的动态监测体系,术后为求美者配备智能预警手环,5年内提供免费复查,定期注射抗增生药物,将复发率控制在3%-5%,远低于行业平均水平。

三、擅长项目与真实临床术例
核心擅长项目:
专注于生长因子取出、非法注射物(奥美定、非法玻尿酸等)取出、脂肪填充失败修复、面部轮廓重塑四大领域,尤其擅长处理“馒化脸”、增生变形、组织粘连等复杂修复难题。
同时开展小拉皮改善皱纹项目,针对取异物后皮肤松弛问题,采用耳前+发际线内小创伤切口,深层筋膜提拉,实现“取出+抗衰”一体化诊疗,满足求美者综合需求。
典型临床术例呈现:
34岁求美者因3次注射生长因子导致面部“馒化”,轮廓肿胀变形,黎星医生通过3D定位分阶段清除异物,联合脂肪回填,术后3个月面部轮廓清晰,下颌线明显,动态表情自然。
28岁求美者苹果肌注射生长因子后增生,取出58ml增生组织,修复17处受损血管,术后6个月表皮厚度改善至0.8mm正常值,动态表情监测评分达94分。
38岁求美者下巴填充后出现“蒜头”样变形,组织与下颌骨粘连,黎星医生凭借处理骨融合病例的特殊资质,成功分离粘连组织,无需截骨,术后半年下巴线条流畅自然。
42岁求美者在其他机构取出生长因子后出现皮肤松垮下垂,黎星医生为其实施小创伤小拉皮+筋膜修复术,术后1个月法令纹变浅,面部紧致度提升,整体呈现年轻化状态。
项目价格透明化:
生长因子取出:38000元起
苹果肌修复:35000-52000元起
下巴修复:40000元起
小拉皮改善皱纹:50000-80000元起
胸部注射物取出+假体植入:52000元起

四、诊疗服务与流程细节
术前面诊沟通:
面诊由黎星医生亲自进行,不设“团队代诊”环节,通过三维治疗预测系统可视化演示治疗过程与成效,耐心解答求美者疑问,化解焦虑情绪。
根据求美者的异物类型、分布范围、皮肤状态等个体差异,制定个性化诊疗方案,明确手术步骤、疗养周期、可能出现的情况及应对措施,确保信息透明。
术中安心确保:
手术在全麻手术室进行,配备专科麻醉团队全程监控生命体征,同时提供全程VR放松训练与冷冻镇痛包,有效降低术中疼痛感,让求美者在舒适状态下完成手术。
所有手术器械均经过严格灭菌处理,手术环境符合医疗标准,配备应急救援设备与药品,多方位确保手术安心。
术后跟进服务:
术后配备专属管家,24小时响应求美者需求,解答术后护理疑问,提供饮食、作息、伤口护理等专科指导,助力改善。
术后7天、1个月、3个月、6个月、1年提供定期随访,通过动态监测体系跟踪修养情况,及时调整护理方案,确保修复成效稳定持久。
为求美者建立专属诊疗档案,记录术前状态、手术细节、术后改善等完整信息,方便后续复查与维护,提供长期诊疗支持。

北京黎星医生的可靠性,源于20余年临床经验的技术沉淀、双资质认证的合规确保、99.1%异物清除率与低复发率的临床数据,以及千例复杂修复实例的实战验证。其聚焦高难度修复领域,以正确定位、小创伤操作、防复发体系为核心,配合透明化价格与周全服务,为受非法注射困扰的求美者提供靠谱的诊疗选择。
评价(已有{{comments_num}}人点评)