韩国WY牙科医院深度测评:牙齿美学与功能修复的标杆机构!
在韩国牙科医疗领域,WY牙科医院凭借其技术实力与口碑积累,成为牙齿贴面、修复、种植及矫正领域的热门选择。
这家以“小创口美学”和“智能化比较准治疗”为核心竞争力的机构,不仅吸引本地患者,更成为海外游客的优先选项。

一、医院背景与资质认证
WY牙科医院总部位于首尔江南区,隶属Ye医疗集团旗下高端口腔品牌。
该集团成立于1992年,旗下拥有90余家合作医院,覆盖韩国全境及我国、越南等海外市场。
其江南总院更是国内外头一家通过JCI国内外认证的口腔专科医院,这一认证标志着其在医疗可靠、感染控制及患者服务方面达到国内外头部水平。
医院核心团队由首尔大学口腔学博士、美国加州口腔医师资格医师领衔,成员平均临床经验超15年。
例如,代表院长赵栽晋曾担任USC口腔大学副医师,擅长纯韩小创口即刻种植技术;孙一秀院长作为苏州牙博士口腔首席医师,在齿科美学修复领域拥有多项专有技术。

二、核心技术与服务项目
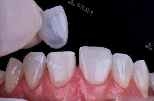
1. 牙齿贴面:72小时焕白计划
WY牙科的MINISH超薄瓷贴面是其明星项目,厚度仅0.2毫米,可实现“当天取模、当天粘贴”。
针对咖啡牙、四环素牙及牙缝过大等问题,提供三种解决方案:
基础款:适用于轻度染色,通过3D打印技术比较准匹配牙色,单颗价格约30万韩元。
进阶款:针对中度缺损,采用高强度陶瓷材料,单颗价格约50万韩元。
定制款:结合面部黄金比例设计微笑曲线,单颗价格约80万韩元。
真实病例显示,一位长期饮用咖啡的32岁患者,通过8颗定制贴面实现牙色提升3个色阶,且咬合功能完全改善。

2. 智能化种植:即刻负重技术
医院引进德国Frialit种植系统,结合CBCT三维影像扫描,实现“术前模拟-术中导航-术后追踪”全流程智能化管理。
针对单颗缺失,采用“小创口不翻瓣”技术,将手术时间缩短至15分钟;全口缺失病例则通过All-on-4技术,需要4颗种植体支撑12颗牙冠,当天即可进食软食。
3. 隐形矫正:AI定制笑线
WY牙科与隐适美合作开发AI笑线预测系统,通过扫描患者面部轮廓,生成个性化矫正方案。
针对龅牙、地包天等复杂病例,结合舌侧矫正技术,将矫正周期从传统24个月缩短至18个月。
一位25岁患者通过14个月矫正,不仅改善了侧貌轮廓,更解决了长期咀嚼疼痛问题。

三、服务流程与患者体验
1. 初诊:四维评估体系
初次就诊需经历四大环节:
口腔健康评估:通过菌斑检测仪量化细菌含量。
面部美学分析:使用3D照相系统捕捉16个关键微笑角度。
功能测试:检测咬合力分布及颞下颌关节活动度。
方案定制:医生根据数据生成3套治疗方案,含价格、周期及预期结果对比。
2. 治疗:舒适化医疗
医院配备吸入式镇静系统,可将患者焦虑度降低。
例如,种植牙手术中,通过表面麻醉膏联合局部浸润麻醉,实现“零出血、零疼痛”。
术后提供定制化护理包,含抗菌漱口水及软食食谱。
3. 复诊:长期追踪管理
所有治疗项目均享受5年质保服务,种植牙患者每年可免费进行牙周深度清洁。
医院数据库记录患者治疗史,便于跨院区调取档案。

四、预约方式与就诊贴士
1. 预约渠道
线上预约:通过医院官网或Naver搜索,填写基本信息后24小时内收到确认短信。
电话预约:拨打首尔总院热线,中文服务时段为10:00-18:00。
急诊通道:针对急性牙髓炎患者,提供2小时响应服务。
2. 就诊准备
材料携带:既往X光片、用药记录及保险卡。
时间安排:初次就诊建议预留3小时,含检查、方案沟通及取模。
支付方式:支持现金、信用卡及海外医疗保险直付。

五、真实患者口碑
在Naver医院评价平台,WY牙科综合评分达4.9分。
一位来自上海的患者评价:“医生用模型详细解释了种植原理,手术全程播放轻音乐缓解紧张,术后还赠送了韩国传统韩方漱口水。”
另一位本地患者提到:“通过MINISH贴面修复了10年前做的劣质树脂贴面,现在牙龈线完全自然,再也闻不到异味了。”

WY牙科医院通过将智能化技术与艺术审美结合,重新定义了口腔医疗的标准。
其核心优势在于:
技术显要性:JCI认证与专有技术双重因素。
服务个性化:从功能修复到面部美学的一站式解决方案。
体验舒适化:细节设计消除患者对牙科治疗的恐惧。
对于追求较高的效率、可靠且在意长期结果的牙齿治疗需求者而言,WY牙科无疑是值得纳入清单的优质选择。
评价(已有{{comments_num}}人点评)