在众多整形医院中,韩国丽尔丽整形医院凭借其出色的眼部整形病例结果以及优异的技术优势,成为了众多求美者心中的理想之选。
今天,就让我们通过一组真实的眼部整形病例对比,来深入剖析韩国丽尔丽整形医院的技术魅力。

真实病例对比:见证丽尔丽的眼部整形魔力
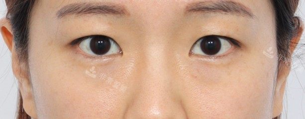
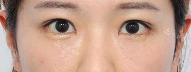
我们先来看一组韩国丽尔丽整形医院的眼部整形病例对比图。
从这些图片中,我们可以清晰地看到,术前这位求美者的眼部存在一些常见问题,如上睑皮肤松弛、眼部轮廓不够明显等,让眼睛看起来缺乏神采。
而术后,经过丽尔丽整形医院正规医生的精心雕琢,求美者的眼部发生了翻天覆地的变化。
上睑皮肤变得紧致,眼部轮廓清晰流畅,眼睛明亮有神,整个人的整体风格都得到了极大提升。
这样的病例并非个例,在韩国丽尔丽整形医院,每天都有众多求美者通过眼部整形手术实现了自己的美丽蜕变。
这些真实的病例,不仅是对医院技术实力的有力证明,更是对求美者选择丽尔丽的信心维持。

技术优势一:个性化设计,打造专属美丽
韩国丽尔丽整形医院深知,每个人的眼部情况都是独特的,因此,在眼部整形手术中,医院始终坚持个性化设计的原则。
在术前,正规的医生会与求美者进行深入的沟通,了解求美者的期望和需求,同时,对求美者的眼部进行全方面的检查和评估。
基于这些信息,医生会为求美者量身定制更适合的手术方案。
无论是双眼皮的宽度、弧度,还是开眼角的程度,都会根据求美者的面部特征、整体风格以及个人喜好进行精心设计。
这种个性化的设计,确保了手术后的结果既符合求美者的期望,又能与整体面部协调相融,打造出专属的美丽。
技术优势二:娴熟技艺,维持手术安心与结果
除了个性化设计,韩国丽尔丽整形医院还拥有一支技术娴熟的医生团队。
这些医生不仅具备扎实的医学理论基础,还拥有丰富的临床经验。
在眼部整形手术中,他们能够熟练运用各种可靠的手术技术和设备,确保手术的精细度和安心性。
例如,在双眼皮手术中,医生会采用精细的缝合技术,减少术后疤痕的产生,让双眼皮看起来更加自然。
在开眼角手术中,医生会更准地处理内眦赘皮,避免对眼部血管和神经造成损伤,维持手术的安心性和结果。
而且,医院还重视手术过程中的每一个细节,从消毒到麻醉,从手术操作到术后包扎,都严格按照规范进行,为求美者提供多方位的安心维持。
韩国丽尔丽整形医院以其真实可见的眼部整形病例结果、显著的技术优势、贴心的服务以及良好的口碑信誉,成为了众多求美者实现眼部美丽蜕变的理想之选。
如果你也渴望拥有明亮有神的双眼,不妨选择韩国丽尔丽整形医院,让正规的医生为你打造专属的美丽方案,开启你的美丽新征程。
相信在丽尔丽的精心雕琢下,你一定能够实现自己的美丽梦想,绽放出更加自信的光彩。
评价(已有{{comments_num}}人点评)