牙齿不仅是消化系统的头一道关卡,更是我们与人交流时较先被注意到的特征之一。一个健康、洁白的笑容能够传递自信、友好和活力,而牙齿问题则可能成为社交和职业发展的障碍。
韩国NewYorkWhite牙科牙齿修复技术已经取得了巨大进步,能够有效地解决各种牙齿问题。本文将通过一组真实的牙齿修复前后对比病例,深入探讨现代牙科修复技术的原理、方法和结果,帮助读者了解如何通过科学的方法重拾健康美丽的笑容。
一、从问题到解决方案:真实病例见证

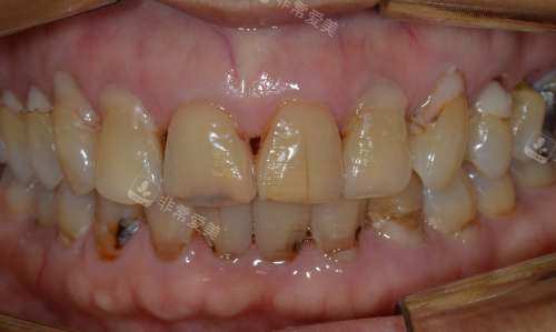
修复前状况
牙齿严峻染色,呈现不均匀的黄褐色
牙釉质表面不平整,有明显的磨损痕迹
部分牙齿存在龋坏或损伤,边缘不整齐
牙齿排列不整齐,影响整体美观
牙龈组织可能存在炎症,颜色偏红
这些问题不仅影响美观,还可能导致进一步的口腔健康问题,如牙周疾病、牙齿敏感等。
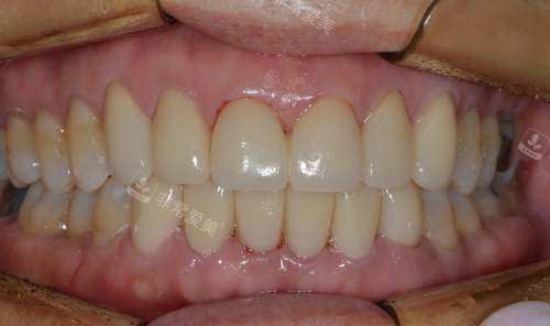
修复后结果
牙齿颜色均匀,呈现自然健康的乳白色
牙齿表面光滑平整,修复了正常的解剖形态
龋坏和损伤部分被完全修复,边缘整齐
牙齿排列更加整齐,咬合关系得到改善
牙龈组织健康,颜色粉红,无明显炎症
修复后的牙齿不仅美观度大大提升,还修复了正常的咀嚼功能,患者的自信心也随之增强。
二、现代牙科修复技术全景解析

1、牙齿美白技术
牙齿美白是改善牙齿颜色较直接有效的方法,适用于外源性着色(如咖啡、茶、烟草导致的染色)和轻度内源性着色。
冷光美白:利用480-520nm波长蓝光促活美白剂
家庭美白:定制托盘配合低浓度美白剂
激光美白:高强度激光加速美白过程
结果持续:6个月-2年
价格区间:¥1,000-¥5,000
2、树脂贴面修复
树脂贴面是一种小创口修复方法,通过在牙齿表面直接堆积复合树脂材料,改善牙齿颜色、形态和排列。
单就诊完成,无需技工室制作
牙齿磨除量少,对牙体损伤小
可直接塑形,调整颜色和形态
使用寿命:3-5年
价格区间:¥1,500-¥3,000/颗

3、瓷贴面修复
瓷贴面是一种超薄的瓷质修复体,通过特色粘接剂固定在牙齿表面,能较好模拟天然牙的色泽和透明度。
高度美观,光学性能接近天然牙
耐磨性强,抗染色能力优异
生物相容性好,对牙龈刺激小
使用寿命:10-15年
价格区间:¥3,000-¥6,000/颗
4、全瓷冠修复
全瓷冠是一种覆盖整个牙冠表面的修复体,适用于牙齿大面积缺损、严峻变色或经过根管治疗的牙齿。
强度高,可承受较大咬合力
美观性好,无金属材料析出
保护残根残冠,修复咀嚼功能
使用寿命:10-20年
价格区间:¥4,000-¥8,000/颗
5、嵌体修复
嵌体是一种在体外制作、通过粘接剂固定在牙齿缺损部位的修复体,适用于较大面积的龋坏或缺损。
边缘密合度高,减少继发龋风险
牙体组织保留多,符合小创口原则
可选择树脂、瓷或金属材料
使用寿命:8-12年
价格区间:¥2,000-¥5,000/颗

6、种植牙修复
种植牙是通过在牙槽骨中植入人工牙根,再在其上安装牙冠来修复缺失牙齿的方法,是目前较理想的缺牙修复方式。
无需磨损邻牙,保护健康牙齿
咀嚼效率高,接近天然牙
美观自然,使用寿命长
使用寿命:20年以上
价格区间:¥8,000-¥20,000/颗
三、树脂贴面 vs 瓷贴面:如何选择?
特性 树脂贴面 瓷贴面
美观性 较好,但长期结果不如瓷贴面 高度美观,接近天然牙齿
耐久性 较差,一般3-5年 较好,10-15年
就诊次数 一次 多次
费用 较低,¥1,500-¥3,000/颗 较高,¥3,000-¥6,000/颗
牙齿磨除量 少或基本不磨除 需要磨除部分牙齿
对牙龈影响 较大,易造成牙龈红肿 较小
适用范围 轻度变色、小范围缺损 严峻变色、较大面积缺损、牙齿畸形
医师建议: 对于牙齿问题较轻、预算有限的患者,树脂贴面是一个不错的选择;而对于追求长期结果、牙齿问题较严峻的患者,瓷贴面虽然价格较高,但能提供更持久、更美观的结果。较终选择应在特色牙医的指导下,根据个人具体情况做出。

四、修复后的护理:延长修复体寿命的关键
1、修复后黄金护理期(前48小时)
避免咀嚼硬物
修复体需要时间完全固化和粘接,24小时内避免咀嚼坚果、骨头、冰块等硬物,以防修复体脱落或损坏。
避免极端温度刺激
48小时内避免过冷或过热的食物和饮料,如冰淇淋、热汤等,以减少牙齿敏感和刺激牙髓。
注意饮食选择
避免食用容易染色的食物和饮料,如咖啡、茶、红酒、酱油等,以防修复体着色。
应急处理
如果出现轻微敏感,可使用无敏牙膏;若修复体松动或脱落,应立即用清水冲洗并保存,尽快联系牙医复诊。
2、长期护理与维护
正确刷牙
使用软毛牙刷和含氟牙膏,采用改良Bass刷牙法,每天刷牙2-3次,每次2-3分钟,特别注意修复体边缘的清洁。
使用牙线和间隙刷
每天使用牙线清洁牙齿邻面,对于修复体之间的间隙,可使用间隙刷或冲牙器辅助清洁,预防食物嵌塞和牙龈炎。
定期复诊
每6个月进行一次口腔检查和洁牙,每年进行一次超全的修复体评估,及时发现并处理潜在问题。
避免不良习惯
戒烟限酒,避免用牙齿咬硬物(如指甲、瓶盖等),如有夜磨牙习惯,应佩戴咬合垫保护修复体。
评价(已有{{comments_num}}人点评)